Dental & Maxillofacial Centre
Royal Medical Services
Bahrain Defence Force, West Riffa
Bahrain
ph: (+973) 3 9692992
fax: (+973) 17 641100
alt: (+973) 17 766555
mohammed

Dento-alveolar surgery (impacted teeth like wisdom teeth and canines, difficult tooth extractions, extractions on medically compromised patients, apicoectomy, bone grafting/bone harvesting or pre-prosthetic surgery) (See Images Below)
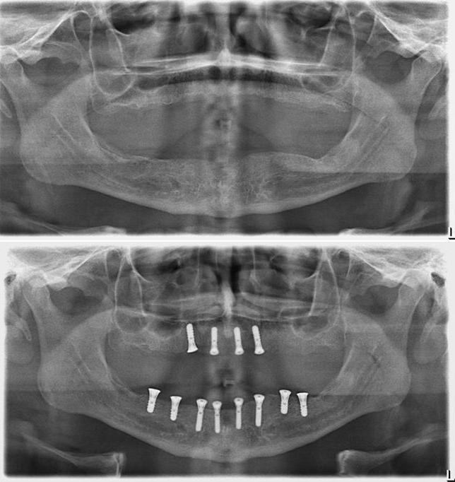
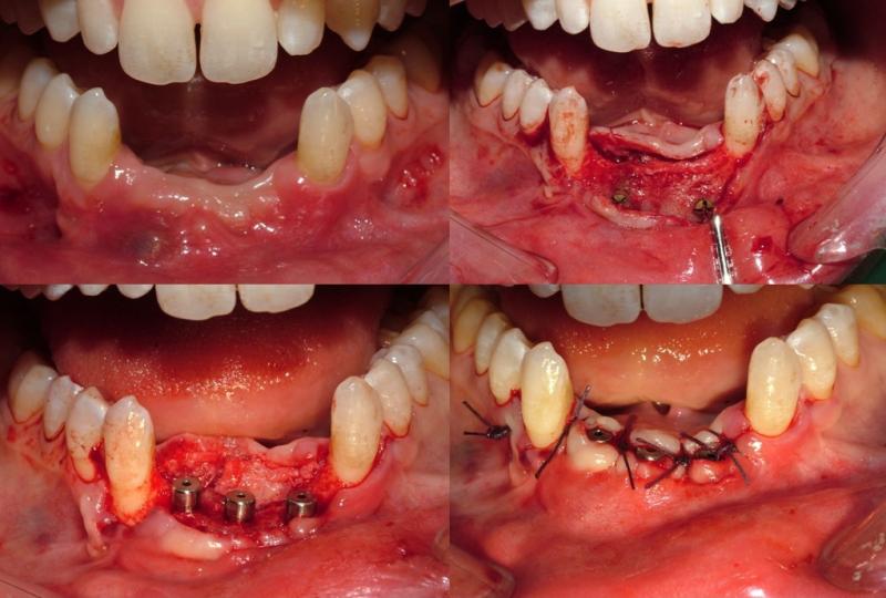
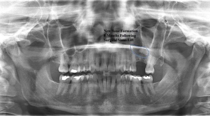
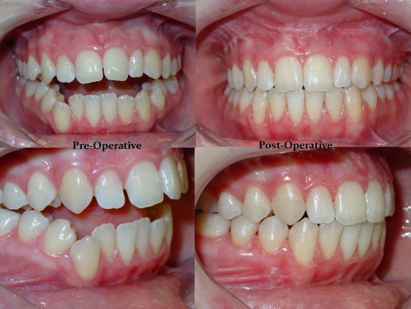
Surgery to insert osseo-integrated dental implants and Maxillofacial implants for attaching craniofacial prostheses (See Images Below)
Diagnosis and treatment of soft (See Images Below) and hard tissue trauma of the oral and maxillofacial region (mandible fractures, zygoma/maxilla fractures, nasal/ethmoid fractures, mid-face (LeFort) fractures, skull fractures, frontal sinus fractures and orbital fractures)
Diagnosis and treatment (biopsy) of benign pathology (cysts and tumours of the head & neck) and of Oral Mucosal Disorders e.g., lichen planus, oral ulcers (Oral Medicine)
Diagnosis and treatment of chronic facial pain disorders
Diagnosis and treatment of Salivary Gland Disease (Parotid, Submandibular and Sublingual)
Diagnosis and treatment (ablative and reconstructive surgery, microsurgery) of malignant pathology (oral & head and neck cancer) (See Images Below)
Diagnosis and treatment of cutaneous malignancy (skin cancer), lip reconstruction
Diagnosis and treatment of temporo-mandibular joint (TMJ) disorders including Arthrocentesis, Arthroscopic Surgery (See Images Below) and open joint surgery of the TMJ including total joint replacement (TJR)
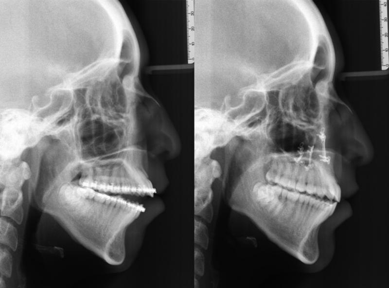
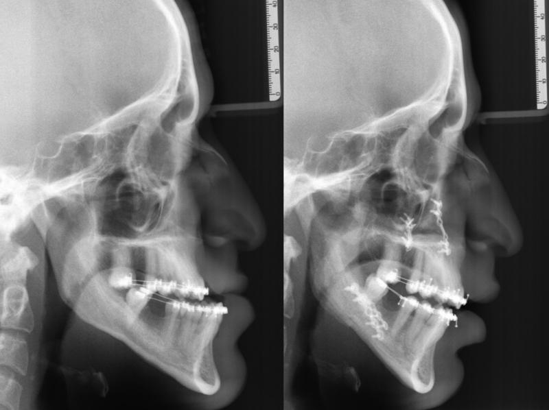
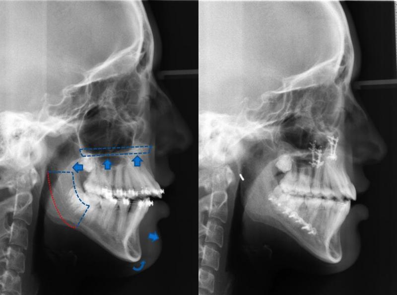
Diagnosis and treatment of dysgnathia, and orthognathic reconstructive surgery, genioplasty, maxillo-mandibular advancement/set-back, and surgical correction of facial asymmetry (See Images Below)
Cosmetic surgery limited to the head and neck: (scar revision, browlift, blepharoplasty, otoplasty, cheek augmentation, chin augmentation, genioplasty, oculoplastics, lip enhancement, injectable cosmetic treatments, Botox®, chemical peel etc.)
Splint and surgical treatment of sleep apnea
Anaesthesia (Local and Regional Blocks in the Head & Neck, Intravenous Sedation, Inhalation Sedation, Oral Sedation)
Dental & Maxillofacial Laser(s)
Diagnosis and treatment of congenital craniofacial malformations such as cleft lip and palate and cranial vault malformations such as cranio-synostosis









Orthognathic Surgery (Class II)



Orthognathic Surgery (Class III)



Orthognathic Surgery (Class II with 'Gummy Smile')



Arthroscopy of the temporomandibular joint (TMJ) is a minimally invasive surgical method of diagnosing and treating TMJ dysfunctions, in cases where nonsurgical treatment has failed to yield beneficial results. Findings obtained from diagnostic arthroscopy have yielded a new appreciation for the diagnosis of TMJ pathology, while arthroscopic operative procedures have been developed that replace open surgery for many pathological conditions. The goal of such arthroscopic surgical intervention is to restore functional range of motion, without pain or limitation, and an improved sense of well-being over time. As in all other joint surgeries, TMJ arthroscopy requires a high degree of technical skill and expert patient management for optimum success which we provide at our hospital.




Our clinic provides both non-surgical and surgical treatment modalities of the TMJ. The OnPoint™ 1.2 mm Scope System is an innovative breakthrough that provides minimally invasive visualization of the TMJ in the comfort and convenience of an office-based setting.
This scope is basically a new device that utilises rigid fibre-optic technology to visualize the superior and inferior spaces of the TMJ in a clinic and operating theatre settings under local anaesthesia and intravenous sedation or general anaesthesia. Since it comes in a 1.2mm (18 gauge needle) Scope System it is designed to provide minimally invasive diagnostic and operative procedures.
Copyright 2010 Mohammed A. Al-Muharraqi©
All Rights Reserved
Dental & Maxillofacial Centre
Royal Medical Services
Bahrain Defence Force, West Riffa
Bahrain
ph: (+973) 3 9692992
fax: (+973) 17 641100
alt: (+973) 17 766555
mohammed